医用画像システム
IBM CIS-Image
Virtual Place
日本アイ・ビー・エム株式会社
株式会社医用画像研究所
はじめに
電子カルテシステムにおいて、医用画像を参照することは必須の要件になっています。しかし多くの参照画像システムは診断のクオリティーを持っていないのが現状です。IBMは1980年代からPACSと参照画像の区別を持たずに、医用画像を医療情報の一部として統合化するシステムの開発を行ってきました。その成果がIBM CIS-Imageであり、大規模な電子カルテシステムにおける参照画像システムとして、多数の実績を持っています。IBM CIS−Imageの特徴は、
・大規模システム(モダリティー20台以上)から小規模(ビューアー数台程度)システムまでをカバーできる柔軟性
・すべての医用画像(DICOM、JPEGを含む)を一貫した操作性で扱えるビューアー
・フィルムレスを実現するための豊富なインフラ
・他アプリケーションとの有機的な接続性を確保する、豊富なAPI(アプリケーション・プログラム・インターフェース)
IBM CIS-Imageの新しい付加価値として、三次元アプリケーションがあります。モダリティーは、マルチスライス化や動画化により、一度に多くの画像情報を出力できるようになってきています。しかしながら医師の診療方法が、モダリティーの進歩に対応して常に変化している訳ではありません。従って診療の質を維持しようとすれば、必然的に診療時間が増加し、効率が悪くなることになります。IBM CIS−Imageでは、爆発的に増加する情報を保管する技術のみでなく、データからの情報抽出技術や、情報の加工技術に関しても、積極的に採用することをコンセプトとして、この三次元アプリケーションをオプションとして提供できるようにしました。
製品紹介
三次元アプリケーションとしては、各社PACSサーバーに接続可能なVirtual Place−Standard Editionと、CIS−Image/Viewerのオプションとして稼動するVirtual Place−Lite Editionの二つのタイプがあります。前者はIBMユーザーに対して特別に編集した機能を提供するもので、仮想内視鏡を標準機能としているパッケージです。後者はIBM CIS−Imageを導入されているお客様用のオプションとなります。

製品の特徴
Virtual Placeシリーズの主な特徴は、
・三次元やコンピュータの知識を必要とせず、医療従事者であれば容易に三次元再構成ができること
・ソフトウエアのみで構成されているため、導入や設置が簡単であること
・ミラクルテンプレートにより、異なったモダリティーメーカーの異なったデータからでも同様な三次元画像を得ることができること
・画質が良く、患者説明に適していること
・オプションとして各種解析ソフトを追加できること(Standard Editionのみ)
製品利用例(1)
ボタンひとつでMPR像を得ることができ、直行断面の画像観察が自由に行えます。MPR画像上でのオブリーク画像も容易に作成でき、任意方向からの画像観察が可能です。画面上のみの観察でなく、作成した画像は新たに画像サーバーに登録、またはフィルムなどに出力可能です。

製品利用例(2)
三次元画像に頻繁に使用されるMIP画像もワンタッチで作成可能です。さらに任意方向からの観察ができ、ボリュームレンダリング画像の表示も可能です。

製品利用例(3)
ボリュームレンダリング画像を表示するとき、ミラクルテンプレートを使用することにより、モダリティーメーカーや機種に依存せずに高画質の画像を作成表示することができます。また造影剤を使用しない画像からもボリュームレンダリング三次元画像作成が可能です。さらに、ボリュームレンダリング画像からのCT仮想内視鏡も高速かつ容易に作成することができます。

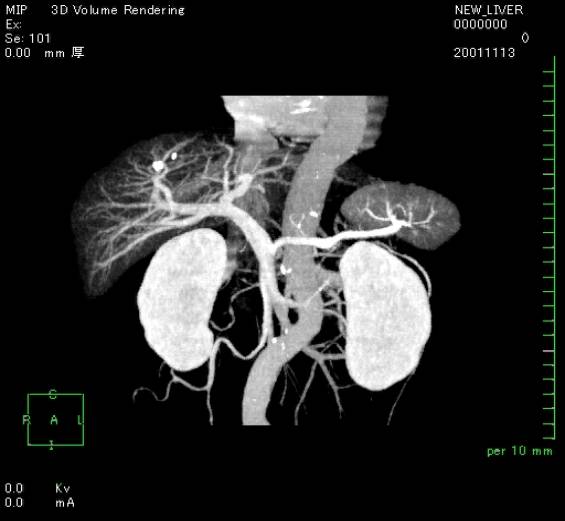
Virtual Placeシリーズ・オプション機能の紹介(CIS-Image Standard Editionにて一部追加可能)
・肝臓解析機能:肝臓の抽出、体積計算、区域わけなどが可能です(下図)
・心臓解析機能:冠状動脈の抽出や、狭窄率の計算、4Dなどをサポートします
・大腸解析機能:大腸を自動抽出し、解析を行います
・ボリュームサブトラクション機能:自動位置合わせ、サブトラクションが可能です
・マルチボリューム機能:複数のボリュームを重ね合わせた表示が可能です
・パーフュージョン機能:脳血流の解析が可能です
・造影剤可視化機能:造影剤の流れが可視化できます
・フュージョン機能:CTとPETの重ね合わせが可能です
製品に関する情報
IBM CIS-Imageに関して
http://www.ibm.com/jp/healthcare
医用画像研究所 Virtual Placeに関して
http://www.milab.jp